Call The Midwife Depicts Rare 'Stone Baby' Condition in Heartbreaking Storyline
Last week's episode of *Call The Midwife* brought a rare and heartbreaking medical condition into the spotlight, highlighting a phenomenon known as lithopedion, or 'stone baby.' The storyline, set in the 1970s, depicted a woman experiencing unexplained pain and incontinence, only for surgeons to discover a calcified fetus embedded in her abdomen during a procedure. This condition, though fictionalized in the drama, is rooted in real medical history and has been documented in hundreds of cases worldwide.

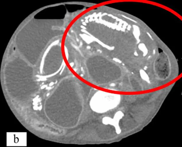
Lithopedion is a rare complication of ectopic pregnancy, where a fertilized egg implants outside the uterus, typically in the fallopian tubes. When such a pregnancy fails, the body's immune system often reabsorbs the tissue. However, if the fetus survives beyond 12 weeks, its skeletal structure begins to calcify, forming a hard, stone-like mass. This process, a form of mummification, protects the mother from infection while leaving the calcified fetus trapped in the abdominal cavity for years, even decades.
Dr. Deborah Lee, a reproductive health specialist, explains that ectopic pregnancies occur in about 1 in 11,000 pregnancies. Around 90% of these cases develop in the fallopian tubes, with the remaining 10% occurring elsewhere in the abdomen, including the cervix, ovaries, or previous Caesarean section scars. If detected early, ectopic pregnancies are typically treated with medication or surgery. However, when undetected, the calcified fetus can remain hidden for decades, often discovered only during unrelated medical exams or postmortem examinations.
Historical records show the earliest known lithopedion dates back to 1100 BC, uncovered during an archaeological dig in Texas. Modern cases, however, remain rare, with only 330 documented globally. Dr. Lee notes that advances in prenatal care and imaging technology have made lithopedion even rarer today. Early detection through blood tests and ultrasounds allows for timely intervention, preventing the calcification process from occurring.

Despite these advancements, some cases persist due to limited access to healthcare or cultural barriers. In 2023, a 50-year-old woman from the Congo died after carrying a lithopedion for nine years. She refused treatment, believing her symptoms were caused by a supernatural curse. Her condition, attributed to a miscarriage years prior, led to intestinal compression and malnutrition, ultimately causing her death. Similarly, in Brazil, an 81-year-old woman died shortly after surgery to remove a lithopedion she had carried for over 50 years, a discovery made only after she complained of persistent stomach pain.

These tragic cases underscore the importance of prenatal care and timely medical attention. Dr. Lee emphasizes that any woman with a positive pregnancy test who does not see an embryo on ultrasound must follow strict protocols, including repeated blood tests and scans. Ectopic pregnancies are treatable, but delays in care can lead to severe complications. For those who experience pregnancy loss or related health concerns, support services such as The Sands Helpline remain available to provide assistance and guidance.

While lithopedion is an extreme rarity in modern medicine, its existence serves as a stark reminder of the complexities of human biology and the critical role of early detection in maternal health. As medical science continues to advance, the likelihood of such cases occurring diminishes, but awareness and access to care remain essential to preventing future tragedies.
Photos