From Insecurity to Confidence: Mandy Turver's Smile Transformation
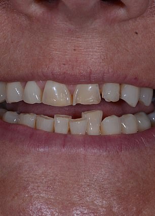
Self-employed mother-of-two Mandy Turver spent years hiding behind her hands when speaking, her once-confident smile replaced by crooked, yellowed teeth that made her feel decades older than her 55 years. Despite a fulfilling career and a supportive husband, the mother of two from Rotherham found herself consumed by insecurity. 'I'd never had issues with my teeth before,' she recalls, 'but as I aged, they seemed to change. I'd hold my hand in front of my mouth when I talked, and I felt like I had the smile of a much older woman.' Her struggle was not unique—statistics show over half of Britons are insecure about their smiles, with two-thirds too self-conscious to show their teeth in photos. But Mandy's journey took a dramatic turn after discovering a revolutionary technique that transformed her life.
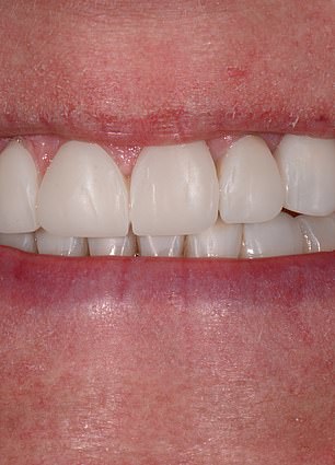
The breakthrough came through a procedure known as the 'ABC technique,' a £4,000 treatment designed to align, brighten, and contour teeth with minimal invasiveness. Unlike traditional cosmetic dentistry, which often involves drilling or injections, this method uses clear aligners, at-home bleaching, and composite bonding to create a natural, age-appropriate aesthetic. Mandy's dentist, Dr. Affan Saghir of Space Dental, explains that the technique is particularly suited for older patients. 'As we age, the lower jaw teeth jut forward, causing crowding and misalignment,' he says. 'This not only affects symmetry but can lead to uneven wear and sensitivity.' For Mandy, the first step was aligning her crooked lower teeth using removable clear aligners. Worn 22 hours a day, these custom braces gradually shifted her teeth into place over eight months. 'I barely noticed them,' she says. 'They were comfortable, and I could still eat and speak normally.'

The second phase involved whitening her teeth with a professional-grade bleaching solution applied at home. This step addressed the yellowing that had plagued Mandy for years, restoring a brighter, more youthful hue. Finally, the contouring phase used composite resin to smooth uneven edges and correct minor imperfections. The material, matched to her natural tooth color, was shaped and hardened with a blue light before being polished to a seamless finish. 'The results are incredible,' Mandy says. 'I'm blown away by how natural they look. People are shocked when they see my smile now—they can't believe I've had work done.'

The transformation has had a profound impact on Mandy's confidence and relationships. No longer self-conscious, she now grins freely, even showing off her teeth in photos. 'I should have done this years ago,' she admits. 'It's not just about looking younger—it's about feeling like myself again.' For Dr. Saghir, the ABC technique represents a shift in cosmetic dentistry, offering older patients a less aggressive alternative to traditional procedures. 'Many people fear the dentist due to past experiences,' he notes. 'This method is painless and designed to feel more like a wellness routine than a medical intervention.'
Mandy's story is a testament to the power of modern dental innovation. Once plagued by insecurity, she now embraces her smile with renewed confidence. 'I didn't think my teeth could look so natural,' she says. 'But they do. And I've never felt more like me.

The transformation is nothing short of remarkable. Patients emerging from the ABC technique—a combination of three established dental procedures—leave with smiles that are not only visually stunning but also functionally sound. This method, which has gained traction among cosmetic and restorative dentists, involves a precise sequence of treatments designed to align teeth, enhance their color, and ensure long-term durability. The result? A smile that appears natural, yet is engineered for resilience, requiring only routine biannual check-ups to maintain its brilliance. Each of the three steps—orthodontic alignment, porcelain veneers, and professional whitening—is well-documented in dental literature, used both for medical corrections and aesthetic enhancements. However, Dr. Affan, the technique's namesake, has rebranded the process as the ABC method to demystify it for patients. "Many come in with a vision of how they want to look, not just how they want to function," he explains. "They leave with a smile that feels like it belongs to someone younger, more confident, and entirely themselves."

The emotional payoff for patients is profound. Mandy, a 60-year-old who recently completed the treatment, describes her reaction upon seeing her reflection in the mirror: "I started to cry. It wasn't just about looking better—it felt like I'd been given a new identity." Her experience is not unique. Studies in cosmetic dentistry have long highlighted the psychological benefits of smile makeovers, with surveys indicating that up to 90% of patients report increased self-esteem and improved social interactions after treatment. The ABC technique, however, stands out for its holistic approach, addressing both the structural and aesthetic aspects of a smile in a way that minimizes invasiveness. By combining orthodontic adjustments with veneers and whitening, the method avoids the need for extensive drilling or implants, making it accessible to a broader demographic.
Yet the technique's success raises questions about accessibility and equity. While the ABC method is praised for its efficiency, the cost—often exceeding $5,000 per patient—can be prohibitive for lower-income communities. Dr. Affan acknowledges this challenge, noting that his clinic offers payment plans and partnerships with dental schools to reduce barriers. Still, critics argue that such procedures risk deepening disparities in dental care, where only those with financial means can afford transformative treatments. The broader impact on communities remains a topic of debate: could widespread adoption of the ABC technique foster greater confidence and economic opportunity, or does it risk commodifying smiles as a luxury rather than a right? For now, the stories of patients like Mandy underscore a compelling truth: when executed with precision, the ABC technique doesn't just alter appearances—it reshapes lives.