The Worn Bomber Jacket That Became a Lifeline in Heather Von St James' Cancer Battle
Heather Von St James was 36 when she became a mother for the first time, a role that brought her immense joy but also unexpected challenges. A co-owner of a thriving hair salon in Minnesota, she balanced her professional ambitions with the demands of raising a newborn. Her life revolved around the rhythms of daily parenthood—feeding her baby, caring for her pet rabbits, and finding solace in an old, familiar comfort: her father's worn blue bomber jacket. The coat, stained with dust from decades of construction work, carried the scent of her father and had been a constant presence in her life since childhood. She never imagined that this cherished piece of clothing could one day become the catalyst for a life-altering diagnosis.
In November 2005, shortly after giving birth, Von St James began experiencing symptoms she initially attributed to the exhaustion of new motherhood. Persistent fatigue, unexplained weight loss, and a lingering fever became her unwelcome companions. Breathing felt increasingly labored, even when she was still. These symptoms, however, were not typical postpartum effects. When a family member noticed her dramatic weight loss—up to five pounds per week—Von St James finally sought medical attention. Her husband took a photo of her curled up on the couch with their newborn, a moment that would later haunt her. Sending it to her sister, she received a chilling She looked dead in the photo. Call your doctor right away."
The urgency in her sister's words led to a CT scan, which revealed a tumor growing within the pleura—the thin layer of tissue lining the lungs and chest. The diagnosis was malignant pleural mesothelioma, a rare and aggressive cancer that typically affects older men with occupational asbestos exposure. Von St James had never heard the term before. When her doctor asked if she or anyone in her family had worked with asbestos, she turned to her husband in disbelief. He hesitated, then said, "Oh, this is bad."

Mesothelioma is a disease that has long been associated with industrial workers exposed to asbestos, a mineral once widely used in construction materials, insulation, and shipbuilding. Its fibers, when inhaled or ingested, can embed themselves in the body for decades, eventually triggering cancerous changes in the pleura or peritoneum. Unlike lung cancer, which originates in lung tissue, mesothelioma develops on the membranes surrounding organs. The disease's latency period—often spanning 20 to 50 years between exposure and diagnosis—makes it particularly insidious. A person exposed in their 20s might not develop symptoms until their 60s or 70s.
Von St James's case, however, was not the result of direct occupational exposure but secondary contact. Her father had worked with asbestos, and the fibers likely clung to his clothing, including the jacket she often wore. This form of indirect exposure is increasingly common among women, who may encounter asbestos through washing loved ones' work clothes or, as in her case, simply hugging a family member covered in dust. The CDC has documented a troubling rise in mesothelioma deaths among women, from 489 in 1999 to 614 in 2020, underscoring the growing risk of secondary exposure.
The prognosis for mesothelioma is grim. Without aggressive treatment, survival rates are typically measured in months, not years. Von St James was told she had at most 15 months to live—a timeline that felt like a death sentence. The five-year survival rate remains dismally low, hovering around 10 percent. Despite advancements in medical science, mesothelioma continues to be a lethal disease, with no known cure.

Asbestos use has declined since the 1970s due to health warnings and regulations, but its legacy lingers. Buildings constructed before the 1980s often contain asbestos materials, and past restrictions have been overturned in court, allowing its use in limited contexts. For many, like Von St James, the danger was hidden in plain sight—on a father's coat, in a family home, or in an old building.
Her story is a stark reminder of the invisible risks that can persist long after a material is no longer in use. Mesothelioma is not just a disease of the past; it is a present and future threat, with public health advisories urging caution around asbestos-containing materials. For families like hers, the message is clear: even the most mundane objects can carry lethal consequences if left unchecked.

Her father is pictured in the back wearing the coat that was laced with asbestos fibers. The image captures a moment frozen in time, but its implications ripple far beyond the frame. In 2024, the EPA finally banned chrysotile asbestos—the only type still imported—but the rule faces legal challenges, and phase-outs for some industrial uses extend to 2037. How long will workers and families have to wait for full protection? How many lives will be lost in the gap between policy and action?
Von St James thought back to her childhood and remembered her dad doing construction work when she was around seven years old. He would come home covered in a thick greyish dust from the asbestos-containing drywall mud he sanded and cleaned up. Her dad wore his work jacket every day. So each time she breathed in her dad's scent on the jacket, she was unknowingly breathing in toxic asbestos. Thinking of her newborn, Von St James threw herself into treatment. "There was no question that I was going to die," she said. "It was like, what do I do to beat this?"
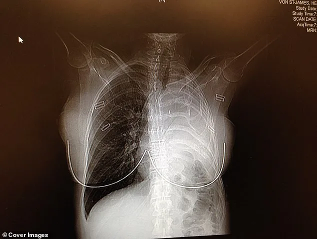
She and her husband flew to Boston to see a specialist who performed a radical surgery. In February 2006, doctors removed her left lung, a rib, the lining of her heart and part of her diaphragm, replacing them with surgical Gore-Tex. The tumor was excised with clean margins. No visible cancer remained. "My mind was spinning and I couldn't breathe," Von St James said. "I started to have a panic attack in that room while they were explaining what mesothelioma was. I began crying and had to leave the room." It was the hardest day of her life. She felt incredibly alone and scared.

In February 2006, doctors removed her left lung, the rib above it, the lining of her heart and part of her diaphragm. In their place, they used surgical Gore-Tex—the same material used in waterproof clothing—to rebuild parts of her chest. The surgery was a success. Surgeons had excised the tumor with perfect margins, leaving no visible cancer behind. As a precaution, to make sure they removed every bit of cancer, doctors infused warm drugs directly into her chest cavity, rocking her back and forth for an hour to circulate the medicine and kill any remaining cancer cells. "Patients call it the 'shake and bake,'" Von St James said. She endured four rounds of chemotherapy and 30 sessions of radiation. "People say once you survive cancer, everything should be great," she said. "But there are a lot of ongoing physical things that happen after surgeries."
Mesothelioma deaths among women are rising, from 489 in 1999 to 614 in 2020, according to the CDC. The culprit is often secondary exposure, including from washing a husband's dusty work clothes or hugging an asbestos-covered loved one. How many families are unknowingly exposed through everyday acts of care? How many children grow up in homes where asbestos lingers in the air, unseen and unspoken?
Twenty years later, Von St James still lives with chronic pain from the surgery, ongoing breathing problems that make climbing a single flight of stairs exceedingly difficult, and limited movement in her left hand and shoulder that makes lifting things a challenge. While the prognosis is typically grim for mesothelioma patients, long-term survivors do exist, and Von St James is one of them, now 20 years cancer-free. Her dad died in 2014 from renal carcinoma, which she believes was related to his asbestos exposure, as asbestos fibers can travel from the lungs to the bloodstream and cause disease in other places in the body. Now, she funnels energy into advocacy, lobbying for EPA action against asbestos, pushing for a complete ban on the use and import of the deadly mineral in the US. "Doctors rarely see patients live this long after mesothelioma," Von St James, now 57, said. "They say in my case, to be here 20 years is rare. I'm frankly still shocked I'm here." Twenty years later and she's still alive. Giving people that hope that it can be done, that medicine can get us there, that brings so much hope to so many.