When Fitness Meets Fate: A Runner's Unexpected Medical Crisis
Mario Ciccarello, a 34-year-old warehouse worker and ultra-marathon runner, believed his chest pain stemmed from a late-night meal of spicy Mexican food. His initial assumption was understandable—after all, the fiery flavors of such dishes are notorious for causing discomfort. But what began as a vague ache soon escalated into a harrowing medical emergency. The pain radiated from his chest to his left arm and shoulder, symptoms he initially dismissed as a fleeting consequence of his meal. However, the severity of his symptoms and the growing dread he felt signaled something far more dangerous than indigestion.

Ciccarello's confusion was compounded by his own fitness. As a man who regularly pushed his physical limits, he had long assumed that his health habits would shield him from cardiac issues. This belief, however, proved dangerously misguided. By midday, his symptoms had worsened to the point where he told his partner, Stephanie James, he felt as though his heart was 'shutting down.' When he lay down, his resting heart rate spiked to 112 beats per minute, a stark departure from his normal range. This anomaly, coupled with the unbearable pain, forced him to confront the possibility that his body was in crisis.
The turning point came when the pain returned with such intensity that it felt like his left side was being torn from his body. Ciccarello's fear was palpable. He looked at his sleeping son and grappled with the possibility that this might be the last time he would see him. It was at this moment that he confronted James, no longer dismissing the situation as a joke. 'It isn't a joke now,' he told her, his voice heavy with urgency. The realization that he might be experiencing a heart attack was a sobering wake-up call, one that would change the trajectory of his life forever.

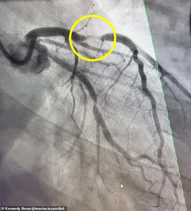
At the hospital, doctors discovered a 95% blockage in his left anterior descending artery, a condition known as a 'widow-maker' heart attack. The term reflects the grim statistic that only 12% of patients survive such an event, as the blockage can cause catastrophic damage to the heart's pumping chamber. This type of heart attack, while more common in men in their 40s, can also affect women over 50. The discovery underscored the unpredictability of cardiac emergencies, even for those who appear to be in peak health.

Ciccarello's case is part of a troubling trend: an increasing number of young, fit individuals are experiencing heart attacks with no clear cause. Data from 2019 to 2023 revealed a 66% rise in heart attacks among adults under 40, with one in five heart attack patients now under 40. Researchers are exploring potential factors, including stress, delayed medical screenings, and environmental pollutants. While genetic predispositions may play a role in some cases, as with Ciccarello, the exact cause remains uncertain in many instances.
Despite the grim odds, Ciccarello's life was saved by the insertion of two stents, which restored blood flow to his heart. Now on blood thinners and undergoing genetic testing, he is using his platform to raise awareness about the signs of a heart attack. Symptoms such as chest pain, shortness of breath, dizziness, and fatigue are often overlooked, even by those who lead healthy lifestyles. His experience serves as a stark reminder that heart attacks can strike anyone, regardless of age or fitness level.

Experts emphasize that time is critical in heart attack scenarios. Every minute delayed increases the risk of permanent heart damage. Ciccarello's story is not just a personal tale of survival but a public health warning. It highlights the need for greater education about cardiac symptoms and the importance of immediate medical intervention. As more young people face similar risks, the message is clear: assuming health based on lifestyle alone is a dangerous gamble. The heart, after all, can be deceptive, and the consequences of ignoring its warnings can be fatal.